Orthodontic treatment does not end when braces are removed or aligners are finished. In fact, the long-term success of your smile depends on orthodontic retention. Retainers are essential because they help keep your teeth straight after treatment and protect the results you worked hard to achieve.
This guide explains what orthodontic retention is, why retainers are important, and how different types of retainers work.
Orthodontic retention is the phase after orthodontic treatment with braces or clear aligners. Its purpose is to keep your teeth in their new, corrected positions.
Without retention, teeth naturally tend to move. In simple terms, retainers help hold your teeth in place and protect your new smile.
After treatment, the teeth, gums and surrounding bone need time to settle. However, even after this settling period, teeth can still move throughout life.
For this reason, retainers are needed to:
This difference is important and often misunderstood.
Orthodontic relapse happens when teeth move back toward where they were before treatment. Retainers are designed to prevent this type of movement.
Natural changes happen to everyone, even people who never had braces. Over time, teeth can shift slowly due to growth, muscle pressure and ageing.
Key point:
Retainers can prevent orthodontic relapse. However, they cannot fully stop natural changes that happen with age.
There are two main types of orthodontic retainers:
In most cases, the best results come from using both together.
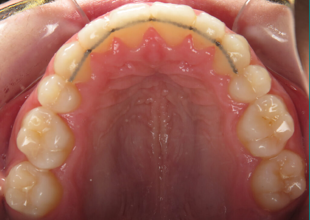
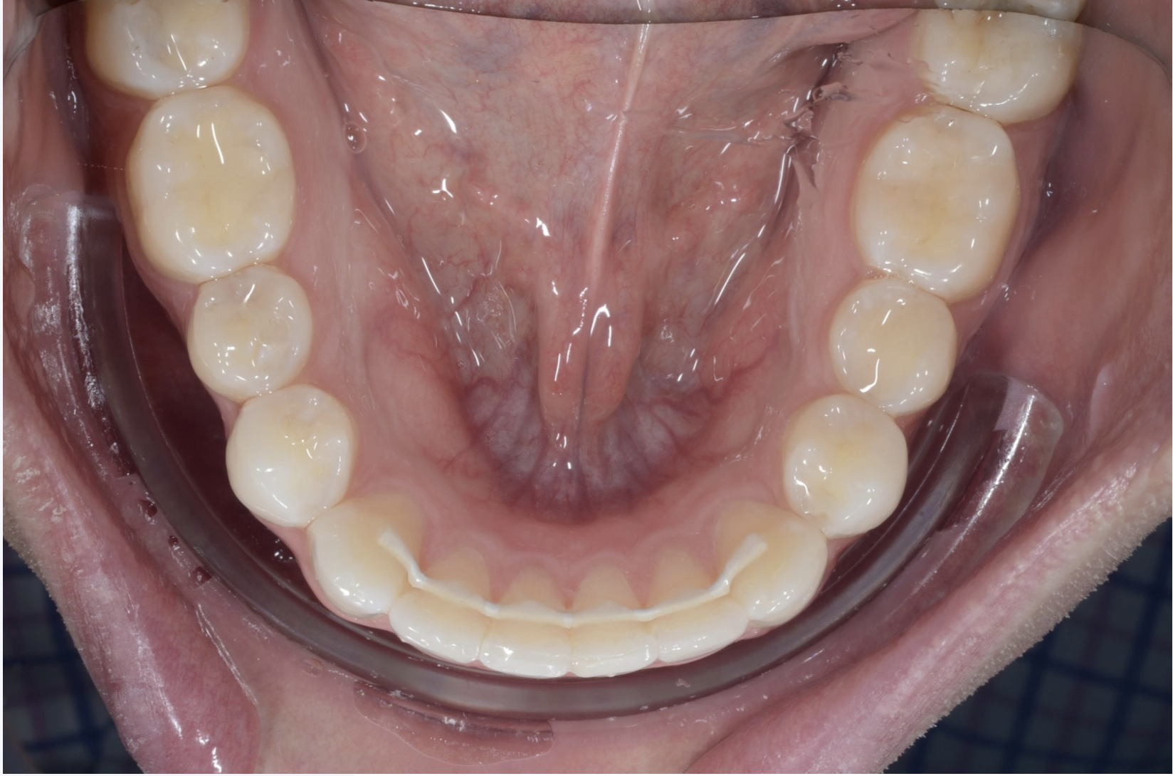
A fixed retainer is a thin wire that is bonded to the back of the front teeth. Because it sits on the tongue side, it cannot be seen from the outside. It works all the time and does not rely on you remembering to wear it.
Fixed retainers require skill and precision to place correctly. If they are not placed well:
Because of this:
In my practice, I use fixed retainers in most patients. Depending on the bite and clinical needs, they may be placed on the upper teeth, lower teeth, or both.
Twist-flex wires

Orthoflex (chain-link) wire
CAD/CAM-designed metal retainers (ie Memotain)
Aesthetic CAD/CAM retainers (EZ-Tain)

Yes. Fixed retainers work well, but they do need good cleaning.
Patients should:
The most common removable retainer is the Essix retainer. It is a clear plastic tray that fits snugly over the teeth.
This can vary between clinics.
My approach is simple:
Yes. In cases involving MARPE or large expansion, stronger retainers such as Hawley retainers may be recommended to give extra support.
This is one of the most common questions.
The honest answer is simple:
You should wear your retainers for as long as you want your teeth to stay straight.
Teeth never fully lock into place. Because of this, retention is a long-term commitment.
If you have finished orthodontic treatment or are planning to start, a personalised retention plan is just as important as the treatment itself.
Back to BlogI recommend and prescribe orthodontic treatments to my patients as if they were my own family and I value meaningful relationships based on communication, confidence and trust.