Palatal Skeletal Expansion in Children and Adults: What Are the Real Benefits?

1 May 2026

By Dr Erfan Salloum Palatal skeletal expansion is a treatment used to widen the upper jaw (maxilla) when it is…

Read More

Best Orthodontic Treatment for Teenagers in Dublin: A Parent’s Complete Guide to Braces

23 April 2026

If you are searching for the best orthodontic treatment in Dublin for your child, you are not alone. Many parents want to…

Read More

Why Do Orthodontic Fees Vary in Ireland? Understanding Cost vs Value in Orthodontic Treatment

3 April 2026

A Specialist Orthodontist’s Guide to the Cost of Braces, Clear Aligners, and Orthodontic Treatment in Ireland Introduction When researching orthodontic…

Read More

Palatal Expansion with MARPE and Facemask Treatment for Underbite (Class III) in Adults

18 March 2026

An underbite, also called a Class III bite, occurs when the lower jaw sits ahead of the upper jaw. In…

Read More

Can Palatal Expansion Avoid the Need for Extractions?

8 February 2026

Palatal expansion, whether performed with RPE, MARPE, or SARPE, is a powerful orthodontic tool used to widen a narrow upper…

Read More

What Are the Best Orthodontic Treatments Available in Dublin?

31 December 2025

When patients ask, “What is the best orthodontic treatment available in Dublin?”, the most accurate answer is this: there is no…

Read More

TMD and Orthodontics: A Clear Guide for Patients

2 December 2025

Temporomandibular Disorders (TMD) refer to a group of conditions that affect the jaw joints (TMJs), the muscles that control jaw…

Read More

Do Orthodontic Extractions Damage Your Face, Narrow Your Arches, or Affect Breathing?

6 September 2025

When patients look for orthodontic advice online, they often see worrying claims: “Extractions ruin your face.” “Braces with extractions make…

Read More

My child has an underbite — when should I consider treatment?

13 August 2025

Underbites (Class III bites) range from a single front tooth in crossbite to a true jaw mismatch. When considering underbite…

Read More

Clear Aligners vs Braces: Which Might Be Better for Busy Professionals?

4 August 2025

If you’re a working adult thinking about straightening your teeth, you’re probably looking for orthodontic options that fit around your…

Read More

What to Expect with Lingual Braces: A Guide for Teen and Adult Patients Seeking Invisible Orthodontics in Dublin

30 July 2025

If you're thinking about straightening your teeth but prefer a discreet solution that won’t affect your appearance, then invisible braces…

Read More

Treating Underbites: What You Need to Know About Class III Malocclusion

3 July 2025

An underbite, what orthodontists call a Class III malocclusion, is one of the most complex bite issues we treat in orthodontics.…

Read More

Top Orthodontic Myths You Shouldn’t Believe

12 June 2025

Orthodontic treatment has come a long way over the years, but many outdated myths persist. These misconceptions can prevent people…

Read More

Braces vs Aligners: What’s Right for Me?

3 June 2025

Over the past 10 years, Invisalign treatment in Dublin and across Ireland has surged in popularity. Clear aligners have taken the orthodontic…

Read More

Are You Suitable for Invisalign Treatment?

30 April 2025

With clear aligners growing in popularity, many patients ask:“Am I suitable for Invisalign?” Are you suitable for Invisalign treatment? The…

Read More

When Is the Best Time to Start Orthodontic Treatment?

21 April 2025

With so much information—and misinformation—online, it's no surprise that parents are often confused about the best time to start orthodontic…

Read More

Orthodontic Extractions vs Arch Expansion: What You Need to Know

23 March 2025

In today’s orthodontic landscape, many patients are being introduced to the idea of "airway-friendly orthodontics" — a treatment philosophy that promotes dental arch…

Read More

Direct-to-Consumer Clear Aligners Hidden Risks

18 March 2025

In recent years, direct-to-consumer (DTC) clear aligners and mail-order aligners have been heavily marketed as an easy, affordable way to…

Read More

First and Only WSLO Active Member in Ireland: What This Means for You as a Patient

8 March 2025

Orthodontics is not a static profession. Instead, it evolves continuously—driven by new research, advancing technology, and higher expectations from patients…

Read More

Orthodontic Retention: How to Keep Your Teeth Straight After Braces or Aligners

20 February 2025

Orthodontic treatment does not end when braces are removed or aligners are finished. In fact, the long-term success of your…

Read More

How Fast Do Teeth Really Move? The Truth About “Fast Braces” and Orthodontic Treatment Time

8 February 2025

If you are considering orthodontic treatment, you have probably seen claims about fast braces, six-month smiles, or aligners that promise a perfect…

Read More

Large Overbite, What are the Treatment Options?

26 December 2024

Protruded teeth, scientifically called increased overjet, and people call it overbite, happen when the upper front teeth sit too far…

Read More

Orthodontic Treatment with Gum Recession or Gum Disease: What You Need to Know

16 December 2024

Orthodontic treatment is not only about straightening teeth. If you have gum recession or gum disease, you may wonder whether…

Read More

What are Invisible Braces? Clear Aligners vs. Lingual Braces

12 December 2024

When it comes to orthodontic treatment, many patients seek options that are discreet and "invisible." Clear aligners, such as Invisalign…

Read More

Can Invisalign Treat Every Orthodontic Problem?

9 December 2024

Invisalign is a household name in orthodontics, much like how "Kleenex" refers to tissues or "Coca-Cola" to sodas. However, it’s…

Read More

Airway, Orthodontics and Sleep Apnea

22 November 2024

What Patients Should Know About Breathing and Orthodontic Treatment Interest in airway health and breathing has grown significantly in recent…

Read More

Early Orthodontic Treatment: Myths, Dogma, and Is the Two-Phase Treatment Worth It?

17 November 2024

Early orthodontic treatment continues to be a hotly debated topic among orthodontists, with discussions often becoming polarized. Some practitioners hold…

Read More

Lingual Braces: Why Are They So Rarely Offered?

22 October 2024

Lingual braces, one of the most aesthetic and effective orthodontic treatments available, are surprisingly difficult to access in many areas.…

Read More

Is MARPE the New Invisalign/Damon? Debunking Myths, Risks, and What You Need to Know.

8 October 2024

Over the past few years, there's been a noticeable shift in patient inquiries. In the past, patients focused on systems…

Read More

Your Guide to Modern Braces: Aligners, Fixed Braces, and Invisible Options

28 September 2024

As an orthodontist trained in traditional braces, clear aligners, and lingual braces (braces on the inside of the teeth), I’m…

Read More

Airway-Focused Orthodontics: Insights, Misconceptions, and Ethical Considerations

2 September 2024

Airway-focused orthodontics has become a growing topic of interest, particularly for its proposed role in managing breathing problems such as sleep-disordered breathing…

Read More

Why the WIN System Is the Gold Standard in Lingual Orthodontics

19 August 2024

Invisible Orthodontic treatment has come a long way over the past few decades. Today, patients no longer have to choose…

Read More

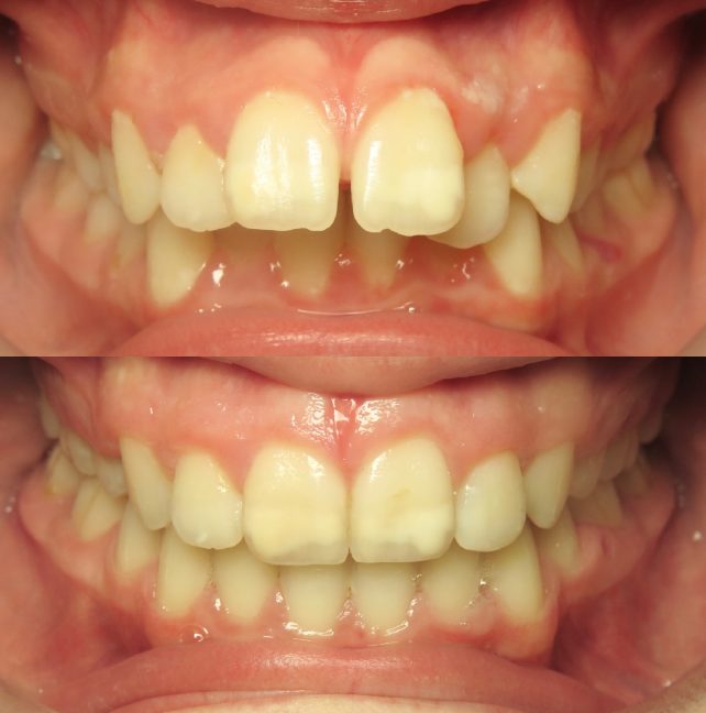
Narrow Upper Arch and Crossbite: What Are Your Options?

14 August 2024

One of the most common concerns among patients seeking orthodontic treatment is a narrow upper arch, often presenting as a crossbite on one…

Read More

Why Patients Should Consider Lingual Orthodontics Using the Win Lingual System

31 July 2024

Orthodontic treatment has evolved significantly, offering patients more choices to achieve their ideal smile. Among these advancements, lingual orthodontics using…

Read More

Exciting News: Advancing Lingual Orthodontics in Ireland

17 July 2024

I’m proud to share a significant milestone in my orthodontic journey: I’ve recently become an active member of the European Society…

Read More

The Case for Clear Aligners: Why Specialized Orthodontic Care Matters

10 July 2024

In recent years, clear aligner treatment has seen a surge in popularity and commercialization. Companies have begun targeting patients directly,…

Read More

Understanding Myofunctional Therapy: Promises, Limitations, and the Evidence Behind It

24 June 2024

Myofunctional therapy is a treatment approach that focuses on improving muscle function and oral habits to support better dental and facial…

Read More

How to choose the best orthodontist for you in Dublin

22 May 2024

Finding the best orthodontist in Dublin can feel overwhelming. A quick Google search shows dozens of clinics claiming to be “the…

Read More

EBAO Certification: A Professional Milestone

14 April 2024

I’m pleased to share a recent development in my career: I’ve been awarded membership with the European Board of Aligner Orthodontics…

Read More

Dental Extractions in Orthodontics: Facts vs Myths

9 February 2024

Dental extractions in orthodontics have been a subject of debate for decades. While traditionally seen as a necessary step in specific…

Read More

Orthodontic Expansion: A Guide for Children, Teens, and Adults

6 January 2024

Orthodontic treatment often focuses on expansion, a technique used to correct crowding and misalignment by widening the jaw. Whether for children,…

Read More

Understanding the Risks of Orthodontic Treatment

28 December 2023

Orthodontic treatment plays a vital role in improving dental health, correcting misaligned teeth and jaws, and enhancing both function and…

Read More

Discover the Hidden Wonders of Lingual Orthodontics

17 December 2023

Are you dreaming of a beautifully aligned smile but hesitant about the look of traditional braces? Lingual braces offer a revolutionary, virtually…

Read More
black shape

Approach

I recommend and prescribe orthodontic treatments to my patients as if they were my own family and I value meaningful relationships based on communication, confidence and trust.

Dr Erfan Salloum

Book a Consultation

Get in Touch

Reviews

“We highly recommend Dr Erfan Sallom, he transformed our daughter's teeth and she’s extremely happy with her beautiful smile! We were looking for a Orthodontist...”

star 1 star 2 star 3 star 4 star 5

Georgina

“I was very anxious about orthodontic treatment and as such delayed it for years. I had no need to be nervous with the expertise and...”

star 1 star 2 star 3 star 4 star 5

Ciara K

“I would really recommend anyone to Dr Erfan Salloum, my experience with Erfan was amazing. I had no issue he was very knowledgeable about his...”

star 1 star 2 star 3 star 4 star 5

Martin R

“I have just finished my two year orthodontic treatment with Dr Erfan and I would highly recommend. He explained everything perfectly about the treatment plan...”

star 1 star 2 star 3 star 4 star 5

Julie P

instagram instagram linkedin linkedin whatsapp whatsapp

FOLLOW: @dr.esalloum

Google Rating
5.0
Google Rating
google rating
Award Logo